
OSSOS SESAMÓIDES DO JOELHO
Ossos sesamóides do joelho são ossos que se desenvolvem dentro de tendões localizados ao redor da articulação. O joelho é a maior e mais complexa articulação do nosso corpo. Ao redor do joelho existem, além dos três ossos principais ( fêmur, tíbia e patela ), alguns ossículos acessórios que muitas vezes passam despercebidos e podem nem existir em todos os joelhos e que, quando presentes, podem desempenhar um papel biomecânico importante na articulação. A patela do joelho é considerada um osso sesamóide porque ela está dentro do tendão do músculo quadríceps femoral. Anatomistas consideram a patela como o maior osso sesamóide do corpo. Mas, além da patela, o joelho pode ter outros ossos sesamóides. A fabela e a ciamela são os dois ossos sesamóides mais encontrados no joelho, além da patela, mas a sua variabilidade anatômica é muito grande e não são todas as pessoas que têm fabela e/ou ciamela nos seus joelhos. A patela é o único osso sesamóide constante e funcionalmente essencial para a fisiologia articular do joelho.
OSSOS SESAMÓIDES DO JOELHO
Ossos sesamóides são os ossos que se desenvolvem dentro de tendões, normalmente em regiões próximas a uma articulação. O joelho é a maior e mais complexa articulação do nosso corpo. Considera-se que o joelho tem três ossos principais: o fêmur, a tíbia e a patela. Mas, em algumas pessoas, podem haver outros ossículos ao redor da articulação, que são evidenciados em exames de imagem como RX e ressonância magnética. Na maioria das vezes esses ossículos passam despercebidos. A patela, que é o osso móvel localizado na frente do joelho, é um osso sesamóide porque está localizada dentro do tendão do músculo quadríceps femoral. Além da patela, outros dois ossos sesamóides são encontrados com alguma frequência no joelho: a fabela e a ciamela. Patela, fabela e ciamela são, portanto, os ossos sesamóides mais comuns na articulação do joelho. A patela é o único desses ossos que é constante no joelho e tem um papel muito importante no mecanismo extensor da articulação.
FUNÇÕES
Os ossos sesamóides têm algumas funções: reduzir o atrito entre tendão e osso, aumentar o braço de alavanca muscular e melhorar a transmissão de forças durante os movimentos articulares. A patela, a fabela e a ciamela são exemplos de como o corpo humano é cheio de variações anatômicas. A patela é um osso essencial e está presente em todos os joelhos. Já a fabela e a ciamela são ossos variáveis, que costumam passar despercebidas e raramente causam sintomas.

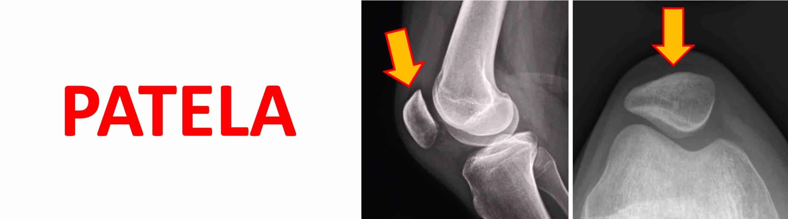
PATELA
A patela, chamada antigamente de rótula, é o maior osso sesamóide do nosso corpo. A patela está localizada na frente do joelho, inserida dentro do tendão do músculo quadríceps femoral. As principais funções da patela no joelho são: proteger a região anterior da articulação, melhorar a eficiência biomecânica do músculo quadríceps femoral para a extensão da perna sobre a coxa e reduzir o atrito entre o tendão quadricipital e a tróclea femoral. A ausência da patela ou sua malformação pode causar instabilidade, dor, luxações e limitação funcional do joelho.

FABELA
A fabela é um osso sesamóide acessório, presente na parte posterior do joelho, dentro do tendão do músculo gastrocêmio lateral. A fabela é considerada uma variação anatômica. Ela pode estar presente em carca de 10% a 30% da população. Ela pode ser confundida com um fragmento ósseo em exames de imagem. Em alguns casos ela pode ser a origem de desconforto e dor, numa condição chamada de síndrome da fabela. A fabela pode interferir em próteses de joelho ou pode precisar ser removida cirurgicamente em casos de síndrome da fabela que não respondem aos tratamentos conservadores.

CIAMELA
A ciamela é um osso sesamóide do joelho ainda mais raro do que a fabela. Ela também fica localizada na região posterior do joelho, dentro do tendão do músculo poplíteo. A presença da ciamela no joelho é extremamente incomum em humanos. A sua presença no joelho costuma ser assintomática. Pode, eventualmente, ser a causa de dor na região posterior e lateral do joelho, especialmente em atletas. Saber da sua existência é importante para que ela não seja confundida com um fragmento ósseo ou corpo livre intra-articular. Isso pode acontecer porque o tendão do músculo poplíteo é intra-articular, ou seja, a ciamela, quando presente, costuma estar localizada dentro do espaço articular do joelho.